使用cupy进行仿射变换#

这里我们使用cupy应用仿射变换。

from skimage.io import imread, imshow

import cupy
from cupyx.scipy import ndimage as ndi
image = imread('../../data/Haase_MRT_tfl3d1.tif')

imshow(image[100])
image.shape
(192, 256, 256)
../_images/b9ec53895c9942461dd35e1b88b95a9557441ceb09c074bd865d8bb6ddfdb74b.png

类似于scipy中的变换,cupy也使用变换矩阵来描述变换。

import numpy as np

# scaling by factor 1 / s
s = 0.5
matrix = np.asarray([
    [s, 0, 0, 0],
    [0, s, 0, 0],
    [0, 0, s, 0],
    [0, 0, 0, 1],
])

在我们可以对图像应用cupy操作之前,我们需要将其发送到GPU内存。我们会收到一个指向GPU上图像的句柄,这个句柄不能使用imshow显示。

cuda_image = cupy.asarray(image)
cuda_image.shape
(192, 256, 256)

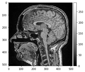
类似于scipy中的仿射变换,在我们可以写入之前,我们需要创建一个具有定义形状的输出图像,其大小是原始图像的两倍。

output_shape = tuple((np.asarray(image.shape) / s).astype(int))
cuda_scaled = cupy.ndarray(output_shape)
print(cuda_scaled.shape)
(384, 512, 512)
r = ndi.affine_transform(cuda_image, cupy.asarray(matrix), output=cuda_scaled, output_shape=output_shape)

在我们可以查看结果图像之前,我们需要将其从GPU内存传输到CPU内存

result = cupy.asnumpy(cuda_scaled)
result.shape
(384, 512, 512)
imshow(result[200], cmap="Greys_r", vmin=0)
<matplotlib.image.AxesImage at 0x1d63076bdc0>
../_images/278376013e6ab625f623e6a2b01e4906416b1740025c14410368b67414979692.png