使用pyclesperanto检查3D图像数据#

本笔记本演示了如何浏览3D图像。

import pyclesperanto_prototype as cle

import numpy as np
import matplotlib
import matplotlib.pyplot as plt
from skimage.io import imread
# Laod example data
input_image = imread('../../data/Haase_MRT_tfl3d1.tif')

复制切片#

为了可视化特定的切片,而不让图像离开GPU内存,请使用copy_slice方法。

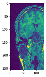
# Copy Slice
image_slice = cle.create([256, 256]);
slice_z_position = 40.0;
cle.copy_slice(input_image, image_slice, slice_z_position)

# show result
cle.imshow(image_slice)
../_images/c60c6141e977151383e4e4988e95e2b2a8a313b44d0ead1d5e0cbcf484394c62.png
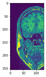
# Alternatively, don't hand over the output image and retrieve it
another_slice = cle.create_2d_xy(input_image)
cle.copy_slice(input_image, another_slice, slice_index = 80)

# show result
cle.imshow(another_slice)
../_images/94d2e1e1937c5fe79debe6f4cc905a8a4f9415fbce9ee61f1b66bdc05012264b.png

投影#

pyclesperanto提供了x、y和z方向上的最小值/平均值/最大值和求和投影。

# Maximum Z Projection
projection = cle.maximum_z_projection(input_image)

# show result
cle.imshow(projection)
../_images/d8f11fbbae3f5e1e60dde436a78650ecc23e15279f1765bc78de1dc6c6bfe485.png

如果你将图像堆栈传递给cle.imshow,它会为你沿Z轴进行最大强度投影:

cle.imshow(input_image)
../_images/d8f11fbbae3f5e1e60dde436a78650ecc23e15279f1765bc78de1dc6c6bfe485.png
# Sum Z Projection
projection = cle.sum_z_projection(input_image)

# show result
cle.imshow(projection)
../_images/0816d14fa0c366e9c64d3556f28333dfbe6128ee76e5347ec2a7b9fe6ce35309.png
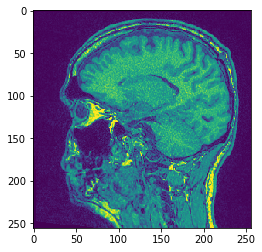
# Mean Y Projection
projection = cle.mean_y_projection(input_image)

# show result
cle.imshow(projection)
../_images/651b6c99f2ac893b51f41872b1e6fbb4d58e1b34b378fd3f483faadd2f67d2ae.png

XZ转置#

为了在GPU中转置图像的轴,请使用转置方法

# Transpose X against Z
transposed_image = cle.create([256, 256, 129]);
cle.transpose_xz(input_image, transposed_image)

# show result
cle.imshow(transposed_image[126])
cle.imshow(transposed_image[98])
../_images/e97110ffe1a16f851b0206a58dcb1a6d09d3dcc80b6d9f2dc5319d6b87e9d93b.png ../_images/44ea47c8299b20c9c33cd7067d72806bcaeeae466cc49f3fdda93c67a9abfaa8.png

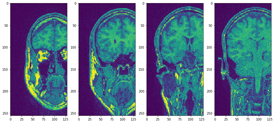
使用子图将它们并排放置

fig, axs = plt.subplots(1, 4, figsize=(15, 7))
cle.imshow(transposed_image[75], plot=axs[0])
cle.imshow(transposed_image[100], plot=axs[1])
cle.imshow(transposed_image[125], plot=axs[2])
cle.imshow(transposed_image[150], plot=axs[3])
../_images/c7f6aa8ebe01402e92cd9a40e380bf9cf1b1febdd7a6e15069da4e5756ff6e04.png