Procesamiento de datos de lapso de tiempo#

Este notebook demuestra cómo procesar datos de lapso de tiempo cuadro por cuadro.

from skimage.io import imread, imsave
import pyclesperanto_prototype as cle
import numpy as np

Primero, debemos definir el origen de los datos que queremos procesar y dónde se deben guardar los resultados.

input_file = "../../data/CalibZAPWfixed_000154_max.tif"
output_file = "../../data/CalibZAPWfixed_000154_max_labels.tif"

A continuación, abrimos el conjunto de datos y vemos qué dimensiones de imagen tiene.

timelapse = imread(input_file)
timelapse.shape
(100, 235, 389)

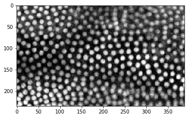
Si no es obvio cuál es la dimensión del tiempo, se recomienda cortar el conjunto de datos en diferentes direcciones.

cle.imshow(timelapse[:,:,150])
../_images/442b86f3596c139e62135602bdaac281bfc4ff584cf7186cb7c43320f2364a8e.png
cle.imshow(timelapse[50,:,:])
../_images/ec9eeb7a9de6d9f80660d6ccb54ce388278033abab502f313884091c6179f125.png

Obviamente, la dimensión del tiempo es la primera dimensión (índice 0).

A continuación, definimos el flujo de trabajo de procesamiento de imágenes que queremos aplicar a nuestro conjunto de datos. Se recomienda hacer esto en una función para que luego podamos reutilizarla sin copiar y pegar todo.

def process_image(image, 
                  # define default parameters for the procedure
                  background_subtraction_radius=10, 
                  spot_sigma=1, 
                  outline_sigma=1):
    """Segment nuclei in an image and return labels"""
    # pre-process image
    background_subtracted = cle.top_hat_box(image, 
                  radius_x=background_subtraction_radius, 
                  radius_y=background_subtraction_radius)
    
    # segment nuclei
    labels = cle.voronoi_otsu_labeling(background_subtracted,
                  spot_sigma=spot_sigma,
                  outline_sigma=outline_sigma)

    return labels

# Try out the function
single_timepoint = timelapse[50]
segmented = process_image(single_timepoint)

# Visualize result
cle.imshow(segmented, labels=True)
../_images/ce59c91bb9c93b4882f2dc7c145ab7e13a8b4d46c58793967833f7388be507d1.png

Después de hacer que esta función funcione en un solo punto de tiempo, debemos programar un bucle for que recorra el lapso de tiempo, aplique el procedimiento a un par de imágenes y visualice los resultados. Nota: Avanzamos en pasos de 10 imágenes a través del lapso de tiempo, para obtener una visión general.

max_t = timelapse.shape[0]
for t in range(0, max_t, 10):
    label_image = process_image(timelapse[t])
    cle.imshow(label_image, labels=True)
../_images/51c6a9e598304f16847f3f1dfa098cc73ac8ee7cc392437e3ff8dca75bab9b5d.png ../_images/ab3bcb4e330a3a2eb539f33bf994b3f49b2f28fbe65f8a9536b59154eb9d7af7.png ../_images/c7b5a1ab97a72cff10faab3b10775ab52170e3cdec6c3679bf095e3199fae549.png ../_images/eaeba58f06f14bcd20ed9acc8f1d120e95a15aafe5a33046c09671057ec8b456.png ../_images/da2a4535ff6354b5b969b5aa928862976ae89f852f8210a45173e5e9a1d57bed.png ../_images/ce59c91bb9c93b4882f2dc7c145ab7e13a8b4d46c58793967833f7388be507d1.png ../_images/782db570f2761bb79105d0bd8d09f1c006db76309e0f73198f731951b7a890f7.png ../_images/a67f022642078a4ad8366a1d480c9de82cc69d9b6d359394eecfca0f5a4a310b.png ../_images/cb912bd877a26a7d486345389c8be2a466864e5802172087952024f04f799539.png ../_images/3d0b815c7f235394fb18a80db92db9d3d309ca81049f0be54e4d677eef4d11c8.png

Cuando estamos convencidos de que el procedimiento funciona, podemos aplicarlo a todo el lapso de tiempo, recopilar los resultados en una lista y guardarlos como pila en el disco.

label_timelapse = []
for t in range(0, max_t):
    label_image = process_image(timelapse[t])
    label_timelapse.append(label_image)
    
# convert list of 2D images to 3D stack
np_stack = np.asarray(label_timelapse)

# save result to disk
imsave(output_file, np_stack)
C:\Users\rober\AppData\Local\Temp\ipykernel_27924\219181406.py:10: UserWarning: ../../data/CalibZAPWfixed_000154_max_labels.tif is a low contrast image
  imsave(output_file, np_stack)

Solo para estar seguros de que todo funcionó bien, volvemos a abrir el conjunto de datos e imprimimos su dimensionalidad. Se supone que es idéntica al conjunto de datos original timelapse.

result = imread(output_file)

result.shape
(100, 235, 389)
timelapse.shape
(100, 235, 389)