Corte y recorte#

Cuando se trabaja con datos de imágenes más grandes, a menudo tiene sentido recortar regiones y enfocarse en ellas para un análisis más detallado. Para recortar imágenes, usamos la misma sintaxis “:”, que utilizamos al indexar en listas y explorar datos de imágenes multidimensionales.

import numpy as np
from skimage.io import imread, imshow

Comenzamos cargando una imagen 3D e imprimiendo su tamaño.

image = imread("../../data/Haase_MRT_tfl3d1.tif")

image.shape
(192, 256, 256)

Corte#

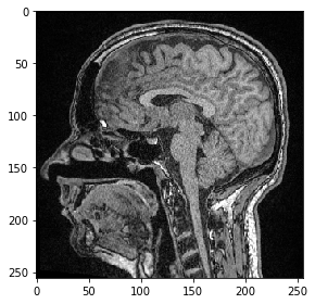
Para visualizar imágenes 3D usando imshow de scikit-image, necesitamos seleccionar un corte para visualizar. Por ejemplo, un corte en Z:

slice_image = image[100]

imshow(slice_image)
<matplotlib.image.AxesImage at 0x2b54f73d340>
../_images/b9ec53895c9942461dd35e1b88b95a9557441ceb09c074bd865d8bb6ddfdb74b.png

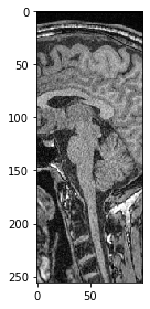
También podemos seleccionar un plano donde todos los píxeles tengan la misma posición Y. Solo necesitamos especificar que nos gustaría mantener todos los píxeles en Z usando la sintaxis :.

slice_image = image[:, 100]

imshow(slice_image)
<matplotlib.image.AxesImage at 0x2b54f836af0>
../_images/ad292cbffaab643c3d9273781ac2d7a8cb9aeed56d351d1c201b74c79fcbef31.png

Recorte#

También podemos seleccionar una sub-pila usando indexación en los corchetes cuadrados.

sub_stack = image[50:150]

sub_stack.shape
(100, 256, 256)

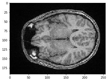
También podemos seleccionar una sub-región en X. Si queremos mantener todos los píxeles a lo largo de Z e Y (las dos primeras dimensiones), simplemente especificamos : para mantener todo.

sub_region_x = image[:, :, 100:200]

imshow(sub_region_x[100])
<matplotlib.image.AxesImage at 0x2b54f8ae850>
../_images/38728fe7d44860c0fac1767af8007785db40a1042ac2162ae73b3055cddc2023.png

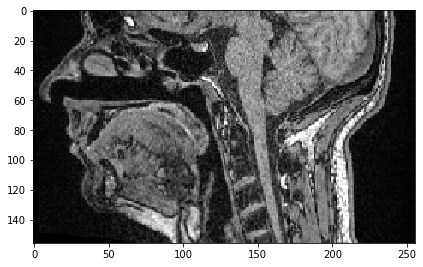
Para seleccionar todos los píxeles en una dirección por encima de un valor dado, solo necesitamos especificar el inicio antes de :.

sub_region_y = image[:, 100:]

imshow(sub_region_y[100])
<matplotlib.image.AxesImage at 0x2b54f90ae20>
../_images/97bd447a765eff73cd22753868fe6c2e3f250a63db6ed468f116ff74bd9615b7.png

De manera similar, podemos seleccionar todos los píxeles hasta una posición dada.

sub_region_x2 = image[:, :, :50]

imshow(sub_region_x2[100])
<matplotlib.image.AxesImage at 0x2b550943d30>
../_images/b1b6f01794a399ac2db4297973bb8e34233be52f6b5d98b70d683d3a5cd5f8df.png

Por último, pero no menos importante, así es como se especifica un cubo recortado.

cropped_cube = image[80:130, 120:170, :50]

cropped_cube.shape
(50, 50, 50)
imshow(cropped_cube[20])
<matplotlib.image.AxesImage at 0x2b5509a4a00>
../_images/474a83bfd6b87d735ccfa7e5e30c1fdae98c834ef6ced02f2a06bc9f939c8ef0.png

Y así es como se ven las proyecciones de máxima intensidad de este cubo recortado.

maximum_intensity_projection_along_z = np.max(cropped_cube, axis=0) 
imshow(maximum_intensity_projection_along_z)
<matplotlib.image.AxesImage at 0x2b550a03f40>
../_images/b60a8d4d3c16d68ffeb90787bbe80d7455732026daee8c574df5a01ff6518f14.png
maximum_intensity_projection_along_y = np.max(cropped_cube, axis=1) 
imshow(maximum_intensity_projection_along_y)
<matplotlib.image.AxesImage at 0x2b550a5e8e0>
../_images/6a8879bc26fa9b800fb1edf6cccbd641a2638dd0796f9c417c3015f452f385ce.png