Inspeccionando datos de imágenes 3D con pyclesperanto#

Este notebook demuestra cómo navegar a través de imágenes 3D.

import pyclesperanto_prototype as cle

import numpy as np
import matplotlib
import matplotlib.pyplot as plt
from skimage.io import imread
# Cargar datos de ejemplo
input_image = imread('../../data/Haase_MRT_tfl3d1.tif')

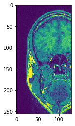
Copiar Corte#

Para visualizar cortes específicos sin que la imagen salga de la memoria de la GPU, utilice el método copy_slice.

# Copiar Corte
image_slice = cle.create([256, 256]);
slice_z_position = 40.0;
cle.copy_slice(input_image, image_slice, slice_z_position)

# mostrar resultado
cle.imshow(image_slice)
../_images/c60c6141e977151383e4e4988e95e2b2a8a313b44d0ead1d5e0cbcf484394c62.png
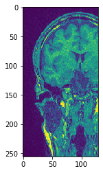
# Alternativamente, no entregue la imagen de salida y recupérela
another_slice = cle.create_2d_xy(input_image)
cle.copy_slice(input_image, another_slice, slice_index = 80)

# mostrar resultado
cle.imshow(another_slice)
../_images/94d2e1e1937c5fe79debe6f4cc905a8a4f9415fbce9ee61f1b66bdc05012264b.png

Proyección#

pyclesperanto ofrece proyecciones de mínimo/media/máximo y suma en x, y y z.

# Proyección Z Máxima
projection = cle.maximum_z_projection(input_image)

# mostrar resultado
cle.imshow(projection)
../_images/d8f11fbbae3f5e1e60dde436a78650ecc23e15279f1765bc78de1dc6c6bfe485.png

Si pasa una pila de imágenes a cle.imshow, realizará la proyección de intensidad máxima a lo largo de Z por usted:

cle.imshow(input_image)
../_images/d8f11fbbae3f5e1e60dde436a78650ecc23e15279f1765bc78de1dc6c6bfe485.png
# Proyección Z Suma
projection = cle.sum_z_projection(input_image)

# mostrar resultado
cle.imshow(projection)
../_images/0816d14fa0c366e9c64d3556f28333dfbe6128ee76e5347ec2a7b9fe6ce35309.png
# Proyección Y Media
projection = cle.mean_y_projection(input_image)

# mostrar resultado
cle.imshow(projection)
../_images/651b6c99f2ac893b51f41872b1e6fbb4d58e1b34b378fd3f483faadd2f67d2ae.png

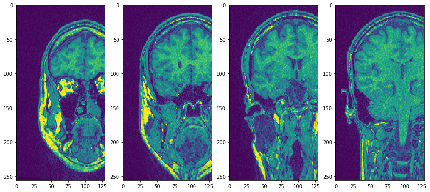
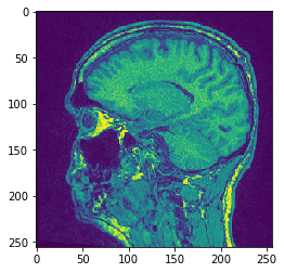
Transposición XZ#

Para transponer los ejes de las imágenes en la GPU, utilice los métodos de transposición

# Transponer X contra Z
transposed_image = cle.create([256, 256, 129]);
cle.transpose_xz(input_image, transposed_image)

# mostrar resultado
cle.imshow(transposed_image[126])
cle.imshow(transposed_image[98])
../_images/e97110ffe1a16f851b0206a58dcb1a6d09d3dcc80b6d9f2dc5319d6b87e9d93b.png ../_images/44ea47c8299b20c9c33cd7067d72806bcaeeae466cc49f3fdda93c67a9abfaa8.png

Utilice subplots para ponerlos uno al lado del otro

fig, axs = plt.subplots(1, 4, figsize=(15, 7))
cle.imshow(transposed_image[75], plot=axs[0])
cle.imshow(transposed_image[100], plot=axs[1])
cle.imshow(transposed_image[125], plot=axs[2])
cle.imshow(transposed_image[150], plot=axs[3])
../_images/c7f6aa8ebe01402e92cd9a40e380bf9cf1b1febdd7a6e15069da4e5756ff6e04.png